The AWEsome connection between our brain chemistry and human behavior
![]() |
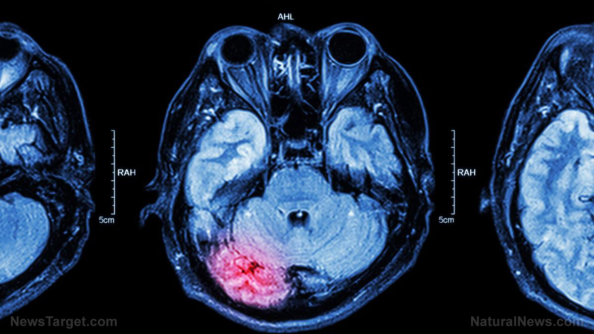
(Natural News) In any given year, about 25% of all U.S. adults have a mental illness and nearly 50% of U.S. adults will develop at least one mental illness during their lifetime. These statistics are staggering! Yet, when it comes to brain health and behavioral disorders, Western medicine is clearly missing the point – in… |
Read Original Article: The AWEsome connection between our brain chemistry and human behavior »
Powered by WPeMatico


